大人の矯正治療で起こりやすいトラブルと対処法を解説
2025/12/30
こんにちは。東京都、秋葉原の歯医者スマイルデザインデンタルクリニック秋葉原です。
大人の口腔内は、長年の生活習慣や歯科疾患の影響で歯や骨の状態が複雑です。
骨の成長が完了しているため、歯の移動には時間がかかり、予期せぬ問題が生じることもあります。
こうしたトラブルを理解し、事前に対策を講じることが、大人の矯正治療には必要です。
今回は、大人の矯正で起こりやすいトラブルと、その対処法・予防方法を解説します。
大人の矯正治療の特徴
骨格の成長が完了している
大人は骨格の成長を利用した矯正治療ができないため、歯の移動だけで噛み合わせや歯並びを整える必要があります。
歯や骨の状態に応じて微調整を重ねながら治療を進める必要があり、手順が複雑になる可能性があります。
歯槽骨の代謝と歯の移動速度
年齢とともに歯を支える歯槽骨の代謝は緩やかになり、歯の移動速度は遅くなります。
そのため、大人の矯正治療は治療期間が長くなりやすいという特徴があります。
歯や歯周組織の変化
長年の咬合力や生活習慣の影響で、大人の歯や歯周組織にはさまざまな変化が生じています。
歯の動き方や矯正力のかかり方にも個人差が生じるため、矯正治療の際は口腔内の状態に合わせた調整が必要になります。
既存の歯科治療の影響
詰め物やかぶせ物、ブリッジ、インプラントなどがある場合、それらを考慮して治療計画を立てる必要があります。
場合によっては、矯正治療の前に補綴物の調整や再治療が必要になります。
大人の矯正治療で起こりやすいトラブル
歯根吸収
歯根吸収は、歯の根が短くなる現象です。
矯正治療においては、矯正力により歯根周囲に炎症が生じることが原因で生じます。
軽度であれば機能への影響は少ないものの、重度になると歯の支持力が低下し、動揺や早期脱落のリスクが高まります。
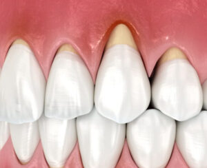
歯肉退縮
歯肉退縮は、大人の矯正治療でよく見られるトラブルです。
歯槽骨や歯肉が薄いと起こりやすく、特に歯槽骨がもともと薄い下顎前歯では、歯を前方(唇側)に移動させたり歯の傾きを変えたりすると、歯肉退縮が生じやすくなります。
虫歯・歯周病リスク
矯正治療中は、虫歯や歯周病のリスクが高まります。
矯正装置が口腔内にあることでオーラルケアが難しくなり、食べかすや歯垢が溜まりやすくなるためです。
特に固定式の装置では、ブラケットやワイヤー周囲に汚れが残りやすくなります。
当院では、取り外し可能なマウスピース矯正を取り扱っております。
治療期間中の痛み
大人の矯正治療中の痛みは、骨の代謝が緩やかなため、長引くことがあります。
痛みには大きく分けて二種類あり、一つは、歯の移動に伴う鈍い痛みです。
矯正力によって歯根周囲に炎症が生じることが原因で、通常は装置調整後の2〜3日間続きます。もう一つは、装置による粘膜の刺激による鋭い痛みです。
ブラケットやワイヤーが頬や唇に当たることで生じ、慣れるまで続くことがあります。
治療期間の長期化
大人の矯正治療は、予定より治療期間が長引くことがあります。
骨の代謝が緩やかで歯の移動が遅いことに加え、歯並びや咬合の不均衡、歯根の形や長さの違い、詰め物やインプラントなど、口腔内の状態が複雑なことがその原因です。
さらに、治療中の虫歯や歯周病、装置の破損なども長期化の原因になります。
想定と異なる口元の変化
矯正治療は口腔内の健康を保つことを目的とした治療であるため、見た目の変化が必ずしも期待どおりになるとは限りません。
また、骨格が完成している大人の場合、口唇や顔の軟組織の反応は個人差が大きく、位置や角度の変化を詳細に予測するのが小児矯正より困難です。
想像通りの口元にはならない可能性があるということを頭に入れておくとともに、シミュレーション画像などをよく確認しておくことが大切です。
矯正治療後の後戻り
矯正治療後の後戻りは、大人の矯正でよく見られるトラブルの一つです。
歯を新しい位置で安定させるには、歯周組織や周囲の筋肉が変化に順応する必要があります。
この順応が十分でないうちに力がかかると、歯は元の位置に戻ろうとして後戻りが起きやすくなります。
また、保定装置の使用状況も後戻りに影響します。指示通りの期間や時間を守らなかったり、装置が破損・不適合になったりすると、歯が再び動いてしまいます。
大人の矯正治療トラブルを予防する方法
納得のいく歯科医院選び
矯正治療を成功させるには、歯科医院選びが重要です。
歯科医師の技術や治療設備だけでなく、治療方針やアフターケアの体制なども確認するようにしましょう。
矯正治療は長期間にわたるため、緊急時の対応や定期的なメンテナンス体制が整った歯科医院を選ぶことが大切です。
治療前のシミュレーションと十分なカウンセリング
大人の矯正では、治療結果の予測が難しい場合があります。
そのため、治療前に詳細なシミュレーションを行い、十分なカウンセリングを受けることが大切です。
シミュレーションでは、歯の動きや最終的な歯並び、口元の変化を視覚的に確認でき、治療後のイメージを具体的に把握することができます。
カウンセリングでは、治療における希望や生活習慣、口腔内の状態を歯科医師と共有したうえで、現実的な治療目標を定めます。
こうした過程を経ることが、不安なく治療を進めるためには大切です。
セルフケアを欠かさずに行う
大人の矯正治療において、治療期間中のセルフケアはとても重要です。
矯正装置があると歯磨きが難しくなり、虫歯や歯周病、着色汚れのリスクが高まります。
また、治療期間が延びたり、後戻りや健康リスクが生じたりすることもあります。
当院で取り扱っているマウスピース矯正であれば、取り外しが可能で食事や歯磨き時に取り外せるため、口腔内の衛生を保ちやすくなります。
違和感があればすぐに歯科医院に相談
矯正治療中の違和感や痛みは、体からの大切なサインです。
違和感のある痛みや装置の破損・脱落、歯ぐきの腫れや出血、口腔粘膜の傷や潰瘍などは、早めに歯科医院へ相談しましょう。
保定期間を守る
整えた歯並びを長く維持するには、保定期間をきちんと守ることが重要です。
保定装置を指示通りに使用することで、歯が元の位置に戻ろうとする後戻りを防ぐことができます。
まとめ
大人の矯正治療では、子どもとは異なる特有のトラブルが起こることがあります。
治療前の十分なカウンセリングやシミュレーション、治療中の装置管理、そして治療後の保定期間の遵守が、納得のいく結果を得るためには大切です。
記事監修:スマイルデザインデンタルクリニック秋葉原 院長 歯科医師 児嶋 剛
日本インプラント学会 所属
日本歯内療法学会 所属
日本審美歯科学会 所属
日本臨床歯科学会 東京SJCD 会員
スマイルデザインデンタルクリニック秋葉原 :https://smile-design-dc.com/
〒101-0023 東京都千代田区神田松永町17-2アサヒKビル5階
電話:03-3525-7400
交通アクセス
秋葉原駅 より 徒歩3分
