当院は、自由診療のみを扱う
専門クリニックです。
重要:LINE不具合のお知らせ
現在、当院の公式LINEにおいてログイン不具合が発生しており、
メッセージの確認・返信ができない状況となっております。
患者さまにはご不便をおかけし
大変申し訳ございません。
復旧までの間、ご予約・お問い合わせにつきましては
📞 お電話:03-3525-7400
📩 メール:smile.design.dc.0421@gmail.com
までご連絡をお願いいたします。
復旧次第、改めてご案内いたします。
何卒ご理解のほどよろしくお願い申し上げます。
TREATMENT
FEATURES

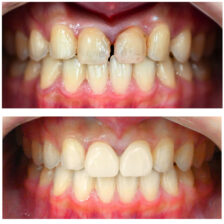
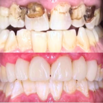
自由診療における「即日治療」を可能にし、患者さまに最短の治療期間で理想的な仕上がりをご提供しています。
通常の診療とは異なり、自由診療では一人ひとりの患者さまにしっかりと時間をかけ、丁寧に治療を進めることができるため、治療のクオリティも高く、満足度の高い結果を目指します。
当院では歯科用3次元CTスキャンや口腔内スキャナーを導入しており、口腔内の情報をデジタル化し、より円滑な治療が可能となります。
お忙しい方や、限られた日程で治療を希望される方にも安心してご利用いただけるよう、柔軟な対応でご要望にお応えします。
自由診療でありながらも、患者さまにとって負担の少ない低価格での治療を提供しています。
自由診療は高額なイメージがあるかもしれませんが、当院では品質を落とすことなく、コスト面でも通いやすい価格設定に努めています。
最新の技術や機材を導入しつつ、無駄を省いた治療計画を立て、無理のない範囲で理想的な治療を実現します。
患者さまのご要望や予算に合わせた柔軟な提案を行っています。


患者さま一人ひとりの状態やライフスタイル、ご希望にしっかりと耳を傾け、最適な治療プランをご提案しています。
まずは丁寧なカウンセリングと検査を行い、現在のお口の健康状態を把握したうえで、複数の治療方法を考慮しながら、患者さまにとってベストな選択を一緒に探っていきます。
お一人おひとりに寄り添った、長期的な視点に立った診療で、安心して治療に臨んでいただける環境を整えています。
歯科治療に対する恐怖心や強い不安感、また嘔吐反射の強い患者さまにも安心して治療を受けていただけるよう、「笑気麻酔」を使用したリラックス法を提供しています。
恐怖心が軽減され、落ち着いて治療を進めることができるため、治療中の不安や不快感が大幅に緩和されます。
少しでも快適に、リラックスした状態で治療を受けていただけるよう、スタッフ一同サポートいたします。


従来の型取り方法に代わり、最新の口腔内スキャナーを使用することで、精密かつスピーディーな印象採得を行っています。
口腔内スキャナーは、小型のカメラでお口の中を撮影し、わずか数分で高精度な3Dデータを取得します。
口腔内スキャナーを用いることで解析→診断が格段に迅速になり、ドクターの初期診断が速くなり、円滑な治療が可能となります。
快適で効率的な診療体験を提供するため、最新の技術を積極的に導入しています。
患者さまが安心してリラックスできるよう、個室の診療室をご用意しています。
プライバシーをしっかりと保護し、他の患者さまやスタッフの目を気にすることなく、心からリラックスして治療を受けていただける空間を提供しています。
落ち着いたインテリアや、快適な椅子を取り揃えた個室空間では、歯科治療に対する緊張や不安が少しでも和らぐよう工夫しています。
また、長時間の治療が必要な方も安心して過ごしていただけるよう、心地よい環境づくりに努めています。
プライベートな空間で、患者さま一人ひとりのご要望に丁寧に応じた診療をお届けします。


秋葉原駅から徒歩3分というアクセスの良さが魅力です。
駅から近いため、通勤や通学の合間に気軽にご来院いただけます。
都内主要駅へのアクセスも良好で、お忙しい方や遠方からの通院も便利です。
また、駅近という立地から悪天候の日でも比較的快適にご来院いただけるため、定期的なメンテナンスや急なトラブル時にも安心です。
アクセスの良さを活かし、地域の皆さまの健康をしっかりとサポートいたします。