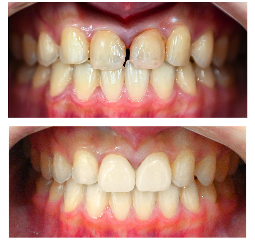
主訴:上顎の前歯が2本とも先天的に欠損。矯正治療では完全に隙間を埋めきれず、すきっ歯のようになってしまった。
治療部位 |
上顎前歯2本のセラミック治療 |
主訴 |
上顎の前歯が2本とも先天的に欠損しており、以前に矯正治療で両方の側切歯を真ん中まで移動。 |
治療期間 |
1か月 |
来院回数 |
3回 |
費用 |
22万円 (税抜) |
記事監修:スマイルデザインデンタルクリニック秋葉原 院長 歯科医師 児嶋 剛
日本インプラント学会 所属
日本歯内療法学会 所属
日本審美歯科学会 所属
日本臨床歯科学会 東京SJCD 会員
スマイルデザインデンタルクリニック秋葉原 :https://smile-design-dc.com/
〒101-0023 東京都千代田区神田松永町17-2アサヒKビル5階
電話:03-3525-7400
交通アクセス
秋葉原駅 より 徒歩3分
