歯が長く見えるのはなぜ?進行を防ぐための治療とケア方法を解説
2026/03/20
こんにちは。東京都、秋葉原の歯医者スマイルデザインデンタルクリニック秋葉原です。
鏡をのぞいたときに「前よりも歯が長くなった気がする」と感じたことはありませんか。
これは、実際に歯が伸びているわけではなく、歯ぐきが下がって根元が見えるようになったことで歯が長く見えている状態です。
見た目の問題だけでなく、歯の寿命に関わるリスクもあるため、歯ぐきの後退に気づいたら早め対処することが大切です。
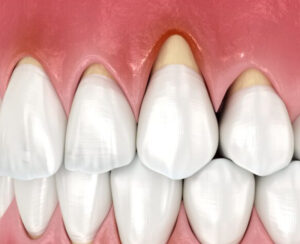
歯ぐきが長く見える原因
歯ぐきが下がって根元が見えるようになる主な原因は、歯肉退縮です。
健康な歯ぐきは歯の根元を覆っていますが、歯肉退縮が起こると、普段は隠れている部分が露出し、歯が縦に長くなったように見えてしまいます。
歯肉退縮は見た目の問題にとどまらず、象牙質が露出することで虫歯や知覚過敏のリスクが高まるため、注意が必要です。
歯肉退縮の原因
歯周病
歯肉退縮の主な原因の一つに、歯周病の進行があります。
歯周病は、歯と歯ぐきの境目にたまった歯垢に潜む細菌によって起こります。
細菌が歯ぐきに炎症を起こすと、初期には赤みや腫れ、出血などの症状が見られるようになり、炎症が進行すると歯を支える歯槽骨が溶回し、その上の歯ぐきも下がってしまいます。
ブラッシング圧
毎日の歯磨きは歯ぐきの健康を守るうえで欠かせませんが、磨き方によっては歯肉退縮を招くことがあります。
特に、硬い毛先の歯ブラシで力を込めてゴシゴシ磨く「オーバーブラッシング」は、歯ぐきの表面を傷つけてすり減らす原因になります。
歯ブラシはやわらかめを選び、力をかけすぎずに歯と歯ぐきの境目をなぞるように磨くことが、歯肉退縮の予防につながります。
歯ぎしり・食いしばり
就寝中の歯ぎしりや日中の食いしばりも、歯ぐきが下がる大きな原因です。
歯に過剰な力がかかると、支えている骨や歯ぐきに強い負担がかかります。
その状態が続くと組織が少しずつ壊れ、結果として歯ぐきが下がってしまいます。
加齢
年齢を重ねると、歯ぐきは弾力を失い、少しずつ後退していきます。
これは自然な変化であり、若いころに比べて血流や組織の再生能力が低下することが影響しています。
歯ぎしりや食いしばりの習慣があると、その負担が積み重なり、加齢による歯肉退縮が進みやすくなります。
歯並び・噛み合わせ
歯並びが悪いと一部の歯に過剰な力がかかり、その部分の歯ぐきが下がりやすくなります。
また、噛み合わせの不均衡も同様に歯ぐきや歯を支える骨に負担を与え、歯肉退縮が進みやすくなります。
歯肉退縮を放置するリスク
歯肉退縮を放置すると、さまざまなリスクが生じます。
まず、象牙質が露出することで虫歯になりやすくなります。
さらに、象牙質が露出すると知覚過敏のリスクも増えます。
また、歯ぐきが下がることで歯周ポケットが深くなって細菌が入りやすくなるため、歯周病が進行するリスクも高まります。
歯周病が進むと歯を支える骨や組織が破壊され、最終的には歯がぐらつき、抜歯が必要になる場合もあります。
歯肉退縮の治療法
スケーリング・ルートプレーニング
歯周病で歯ぐきが下がっている場合に行われる基本的な治療が、スケーリングとルートプレーニングです。
スケーリングでは、歯と歯ぐきの境目や歯周ポケットにたまった歯石や汚れを取り除きます。
これにより、歯ぐきの炎症を引き起こす細菌を減らすことができます。
ルートプレーニングは、歯の根の表面を滑らかに整える処置です。
根の表面を平らにすることで汚れがつきにくくなります。
外科的処置
重度の歯周病で歯ぐきの奥深くに汚れや炎症がたまっている場合には、外科的な処置が行われることがあります。
これは、歯ぐきを一時的にめくって汚れや炎症組織を取り除き、歯ぐきや歯を支える組織の健康を取り戻すための治療です。
処置後は歯ぐきが再び歯に付着しやすくなり、炎症の改善や歯周組織の回復につながります。
再生療法
再生療法は、歯ぐきや歯を支える骨を再生させることを目的とした治療です。
代表的な方法にGTR法(歯周組織再生誘導法)があります。
歯周組織が再生しやすい環境を整え、失われた骨や歯ぐきを回復させることを目指します。
ただし、再生療法はすべての歯肉退縮に行えるわけではありません。
治療の可否は、歯科医師が口腔の状態や歯周病の進行度を確認したうえで判断します。
咬合調整
歯ぎしりや食いしばり、噛み合わせの不良が歯ぐきの後退に影響している場合、歯の接触状態を整えて力のバランスを調整します。
具体的には、就寝時にナイトガードを装着して歯ぎしりや食いしばりから歯や歯ぐきを守ったり、噛み合わせの高い部分を削って調整したりします。
これにより、歯や歯ぐきにかかる過剰な力を分散させ、歯肉退縮の進行を予防します。
歯肉退縮の予防方法
丁寧なセルフケア
歯肉退縮や歯周病を予防するには、毎日の丁寧なセルフケアが大切です。
歯ブラシだけでなく、デンタルフロスや歯間ブラシなどの補助器具を使い、歯と歯ぐきの間や歯と歯の間の汚れをしっかり落としましょう。
特に歯間は歯ブラシの毛先が届きにくいため、フロスや歯間ブラシを使うと効率よく清掃できます。
バランスのいい食事
歯ぐきの健康を保つには、栄養バランスの取れた食事が大切です。
ビタミンやミネラルをしっかり摂ることで、歯ぐきを含む歯周組織の健康を維持しやすくなります。
一方で、糖分の摂りすぎは虫歯や歯周病のリスクを高めるため、甘いおやつやジュースの取りすぎには注意が必要です。
食後には歯磨きに加え、水を飲んで口の中の汚れを洗い流す習慣をつけると、歯ぐきや歯へのダメージを減らせます。
生活習慣の改善
歯周病を防ぐには、口の中だけでなく生活全体を整えることが大切です。
ストレスや睡眠不足、運動不足は免疫力を下げ、歯ぐきの炎症を起こしやすくします。
また、歯ぎしりや食いしばり、喫煙などの習慣は歯ぐきや歯を支える組織に負担をかけ、回復を遅らせます。
こうした影響を抑えるためには、十分な睡眠や適度な運動で体調を整え、ストレスを減らすことが大切です。
生活習慣を見直すことが、歯周病の予防につながります。
まとめ
歯が長く見える原因の多くは、歯肉退縮による歯ぐきの後退です。
歯肉退縮は、歯周病やブラッシング圧、歯ぎしり・食いしばり、加齢、歯並びや噛み合わせなど、さまざまな要因が重なって進行します。
放置すると、虫歯や知覚過敏、歯周病のリスクが高まるため、早めの対応が大切です。
歯ぐきの後退は進行すると元に戻すことが難しいため、日頃のケアと定期的な歯科受診で、健康で美しい歯ぐきを保つことを心がけましょう。
記事監修:スマイルデザインデンタルクリニック秋葉原 院長 歯科医師 児嶋 剛
日本インプラント学会 所属
日本歯内療法学会 所属
日本審美歯科学会 所属
日本臨床歯科学会 東京SJCD 会員
スマイルデザインデンタルクリニック秋葉原 :https://smile-design-dc.com/
〒101-0023 東京都千代田区神田松永町17-2アサヒKビル5階
電話:03-3525-7400
交通アクセス
秋葉原駅 より 徒歩3分
